Uskoro ćemo vam se povratno javiti kako bismo odgovorili na sva vaša pitanja. Vaše zadovoljstvo je naš prioritet!
Uskoro ćemo vam se povratno javiti kako bismo odgovorili na sva vaša pitanja. Vaše zadovoljstvo je naš prioritet!
Imate oštećen zub, niste zadovoljni izgledom osmijeha ili želite ponovno s lakoćom pokazivati svoje zube? Sada je pravi trenutak za prvi korak. U Implant centru Martinko do kraja svibnja zubne krunice dostupne su po posebnoj cijeni od 249 €, dok cijeli osmijeh s 24 krunice iznosi 5.900 €. Rezervirajte besplatan prvi pregled u Zagrebu, saznajte koje je rješenje najbolje za vas i prepustite svoj osmijeh iskusnom timu stručnjaka.





godina s vama
uspješnih zahvata
lokacije
Pacijentica je imala oštećene zube zbog kojih se nije voljela smijati. Pomoću krunica vratili smo funkciju i estetiku, a osmijeh joj je ponovno došao prirodno.
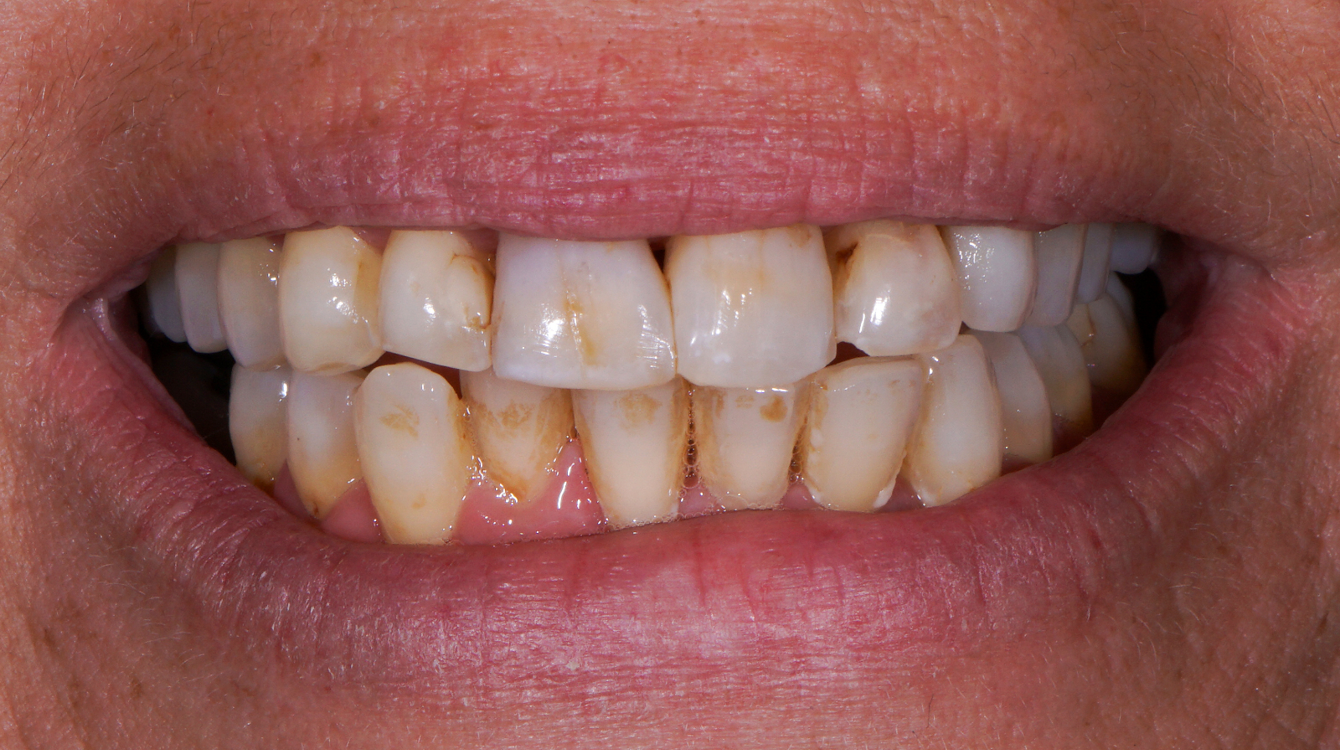
Pacijent je imao požutjele i estetski narušene zube, a nekoliko ih je nedostajalo. Krunicama smo vratili funkciju, prirodan izgled i skladan osmijeh.
Niste sigurni koja je prava terapija za vas, javite nam se i odgovorit ćemo na vaša pitanja.
Moguće je ostvariti povrat troškova dentalne terapije putem njemačkog ili austrijskog zdravstvenog osiguranja, ovisno o vrsti zahvata i uvjetima vašeg osiguranja. U našoj klinici tijekom besplatnog specijalističkog pregleda radimo detaljan plan terapije i snimamo stanje čeljusti, a po potrebi vam pripremamo i dokumentaciju koja se može predati osiguranju. Također vam možemo pomoći s osnovnim informacijama o popunjavanju formulara i slanju potrebnih dokumenata.
Važno je da nam već pri prvom dolasku napomenete ako planirate zatražiti sufinanciranje terapije od osiguranja kako bismo vam mogli pripremiti odgovarajući plan terapije i troškovnik. Iznos povrata ovisi o vašem osiguranju i vrsti zahvata, a u nekim slučajevima moguće je ostvariti i puni postotak refundacije troškova.

Posjetite nas na besplatnom pregledu u našoj poliklinici u Zagrebu i saznajte koja opcija bi bila idealna za vas.
Bez obzira trebate li redoviti stomatološki pregled, estetski tretman ili sanjate o savršenom osmijehu, ovo je prava prilika za vas!




